Lesen Sie hier
mehrere Geschichten
Heilung der Wurzelspitzen mit Ozon
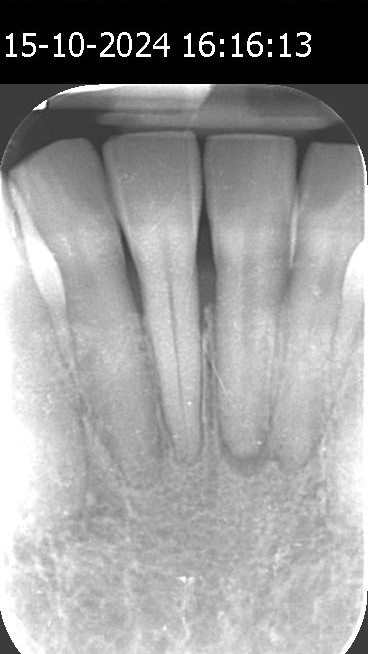
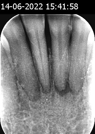
Fallstudie einer 57-jährigen Patientin
Eine 57-jährige Frau aus Gelderland stellte sich mit lockeren Schneidezähnen (3.2, 3.1, 4.1 und 4.2) vor, die Anzeichen einer Wurzelspitzenentzündung und Kieferknochenresorption zeigten (Diagnose gestellt am 21. Juni 2023). Der behandelnde Zahnarzt in Wageningen empfahl vier Wurzelkanalbehandlungen zur Problemlösung.
Nach einer Reihe von Healozon-Behandlungen berichtete die Patientin jedoch keine Beschwerden mehr. Die zunächst lockeren Zähne sind wieder fest im Kiefer verankert. Röntgenaufnahmen vom 15. Oktober 2024 zeigen eine deutliche Heilung des Kieferknochens und eine verbesserte Zahnknochendichte.
Diese Ergebnisse überraschten den Zahnarzt sehr. Anstelle der ursprünglich geplanten vier Wurzelkanalbehandlungen ist nun nur noch eine Behandlung erforderlich, auf die vorerst verzichtet wird.
Die Patientin bleibt bei uns in halbjährlicher Kontrolle und erhält Nachbehandlungen mit Ozon im Rahmen eines dreijährigen Behandlungsplans.

Vorher Nachher